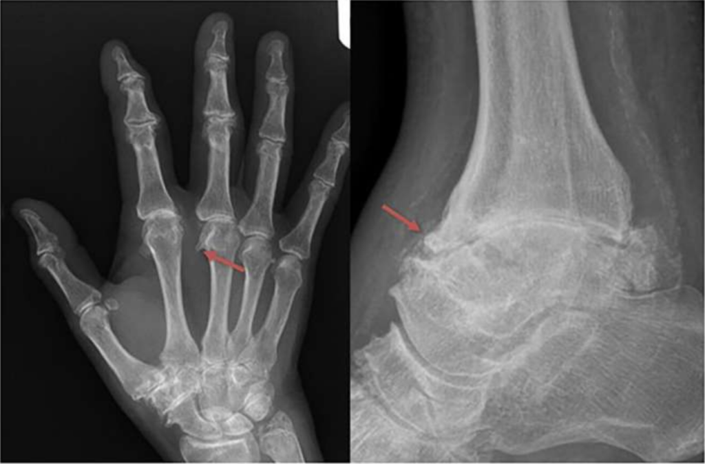
Haemochromatosis arthropathy is a complication associated with haemochromatosis that most commonly affects the joints of the hands, but also the knees, ankles, and hips. Despite its impact, it has long lacked a formal classification. The European Alliance of Associations for Rheumatology (EULAR) task force has now developed the first classification criteria for haemochromatosis arthropathy, which were presented by Prof. Patrick Kiely during the EULAR Congress held in Barcelona on 14 June 2025. A score of 5 out of 11 effectively distinguishes haemochromatosis arthropathy from similar conditions such as osteoarthritis and calcium pyrophosphate deposition disease (CPPD), with high specificity. These criteria will support future research and improve recognition of this condition. The criteria are summarised in the following table.
Classification criteria for hemochromatosis arthropathy devoloped - medicalxpress.com
‘The European Alliance of Associations for Rheumatology—has developed the first classification criteria for hemochromatosis arthropathy (HA) from a unique derivation cohort using rigorous methodology. HA is distinctive arthropathy associated with genetic hemochromatosis—a condition where iron levels build up over time. This has many consequences, including liver cirrhosis, diabetes, and a distinctive arthropathy. [..]’
Click on image or heading to read more.
