EFAPH: a brief History
Year 2025
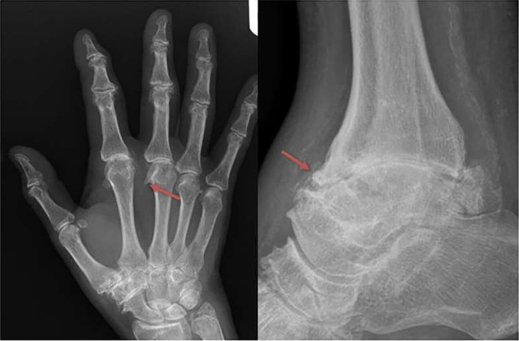
‘Classification criteria for hemochromatosis arthropathy developed’ – Article published in Medicalxpress.

‘The European Alliance of Associations for Rheumatology—has developed the first classification criteria for hemochromatosis arthropathy (HA) from a unique derivation cohort using rigorous methodology. HA is distinctive arthropathy associated with genetic hemochromatosis—a condition where iron levels build up over time. This has many consequences, including liver cirrhosis, diabetes, and a distinctive arthropathy. […]’
To read more https://medicalxpress.com/news/2025-11-classification-criteria-hemochromatosis-arthropathy.html#google_vignette
In memoriam Jean Rialland


Jean Rialland, a French haemochromatosis patient and founding member of EFAPH (2005), passed away on 7 September at the age of 93. Together with Professor Pierre Brissot, as scientific advisor, and Dr Françoise Courtois, as General Secretary, he helped establish EFAPH. Jean was appointed as EFAPH’s first President, a role he held until 2009.
He was a tireless advocate for the prevention, screening and treatment of haemochromatosis. Never losing his curiosity, he searched for the descendants of the Celts not only in Brittany, where he lived and had founded a local haemochromatosis association in 2002, but also across Europe.
Jean firmly believed that patient associations needed political engagement. Each month he travelled to Brussels to meet with Dr Barbara Butzeck, Vice-President, and Dr Françoise Courtois, General Secretary, in order to connect with health attachés and members of the European Parliament serving on the Health Committee.
The EFAPH community will remember him as a committed, enthusiastic and good humoured man whose highest priority was the wellbeing of patients.
Haemochromatosis arthropathy
Haemochromatosis arthropathy is a complication associated with haemochromatosis that most commonly affects the joints of the hands, but also the knees, ankles, and hips. Despite its impact, it has long lacked a formal classification. The European Alliance of Associations for Rheumatology (EULAR) task force has now developed the first classification criteria for haemochromatosis arthropathy, which were presented by Prof. Patrick Kiely during the EULAR Congress held in Barcelona on 14 June 2025. A score of 5 out of 11 effectively distinguishes haemochromatosis arthropathy from similar conditions such as osteoarthritis and calcium pyrophosphate deposition disease (CPPD), with high specificity. These criteria will support future research and improve recognition of this condition. The criteria are summarised in the following table.

Year 2023
- Relocation of EFAPH
A historical decision was made at EFAPH’s AGM on 27 March 2023. The meeting took place before the EIC conference in. EFAPH has been located in France since the organisation was founded in 2004. Last year the board was informed that Francoise, our Office Manager during all these years, wanted to step down. After some efforts to find new resources willing to take over in France, it became clear that a move of the organisation to another country was the only possibility. Norway was finally selected and new statues were agreed upon at the meeting. At the end a new board was elected and the process for moving EFAPH to Norway was in force.
- “Frequently Asked Questions” Booklet
Haemochromatosis International in collaboration with EFAPH put together a booklet of frequently asked questions download here
- “Diet and Haemochromatosis” Guidelines
The Irish Haemochromatosis Association CLG gives thanks to Sarah Keogh, Consultant Dietician and Nutritionist www.eatwell.ie for writing the booklet “Diet and Haemochromatosis” in collaboration with EFAPH, Haemochromatosis International and the Irish Nutrition and Dietetic Institute. The booklet is available to download here.
Year 2021
HEMONews Bulletin n°8.

HemoNews8 | English (download)
Year 2020
- In memoriam Professora Maria de Sousa
EFPAH was saddened to hear of the COVID19 related death of esteemed immunolgist, Professora Maria de Sousa of the University of Porto, Portugal on April 14th, 2020. Prof de Sousa died in intensive care following a week of hospitalisation at Hospital São José in Lisbon.
The following text is based on the original article published in Portuguese, in Publico on 14th April 2020, paying tribute to Prof de Sousa, Professor Graça Porto, said,
‘She will be remembered as one of the greatest scientists of her generation. She always put science ahead of a life of personal comfort. She was never concerned with positions or titles, but her influence as a leader was inevitable, such was her visionary spirit in all areas – in science, teaching and even in personal relationships.‘
Prof de Sousa graduated in Medicine in 1963 and had a long and distinguished career in scientific research working in England, Scotland and the USA as well as Portugal. From 1978 she began to dedicate herself to the study of a possible function of the immune system in protecting against iron toxicity. This led her to study the immune system in patients with a genetic disease of iron overload – hereditary haemochromatosis, a disease more frequent in the North of Portugal than in the rest of the country. In 1985 Prof de Sousa created a research team across three institutions of the University of Porto to investigate haemochromatosis.
In addition to many academic awards for her enormous contributions to scientific research and academia in Portugal, Prof de Sousa was recognised with three different presidents of Portugal awarding her the highest possible decorations for her service to the country. President Marcelo Rebelo de Sousa acknowledged her as ‘someone who had a broad view of the world, who was not confined to academia, but who enthusiastically embraced the relationship between knowledge and society, science and art’.
EFAPH thanks Professora Maria de Sousa for her great work on behalf of all those with hereditary haemochromatosis.
- Prof. Pierre Brissot | Haemochromatosis: What’s important and new in 2020?
Webinar, given June 10th, 2020 for the IACH (International Association of Clinical Hematologists). https://www.youtube.com/watch?v=U1bc2bsQ6Fs&t=3s
- HARI News:
In September 2019 the application from the HARI group to build a EULAR task force on classification criteria was accepted. Patrick Kiely as convenor of the task force organized an excellent 3-days-meeting in London in late January 2020. Members of the task force are rheumatologists, hepatologists, haematologist, GPs, nurses and patients from 11 countries, including Australia and USA. At the first evening Patrick explained the difference between diagnostic and classification criteria which are standardised definitions to create well-definded homogenous cohorts for further clinical research.
Day 2 started with a summary of the systemic literuature review SLR from Stephanie Finzel and Svenja Engelhardt from Freiburg, Germany. They showed what the medical literature tell us about the Characteristics of Haemochromatosis Arthropathy HA. In a great discussion between experts and patients candidate classification criteria items on patients‘ symptoms, investigation signs, imaging and histological characteristics were listed. To reduce this long list a so called Delphi process was performed by voting to include, amalgamate or discard items. A lively discussion leads to the definition of a original HA group with C282Y homozygosity and proof of iron overload either by high transferrin-saturation, iron load in the liver by MRI or liver biopsy or certain number of phlebotomies in the past. As control groups/mimics were defined:
- all other genotypes with or without iron overload,
- CPPD arthropathy,
- osteoarthritis.
The next step is to test the 15 candidate criteria items in a multinational, multicentre study with 150 cases in all 4 groups. After a biostasticial analysis of the data from cases and controls a validation cohort will be tested. The aim is to finalize the classification criteria in late 2021.
Year 2019
- HARI News:
HARI welcomed two new members: Prof. Helen Keen from Australia and Dr. György Nagy from Hungary.
HARI was accepted at the American College of Rheumatology (ACR) as study group in 2017 at the San Diego Meeting, 2018 at the Chicago conference and in 2019 Atlanta. HARI was represented by Patrick Kiely, Stephanie Finzel, Graeme Carroll (2017) and Helen Keen (2018).
The HARI group was accepted as EULAR study group (European League against Rheumatism) for Haemochromatosis-Arthropathy and held the first conference at the EULAR conference in Madrid in June 2019, with the perspective of building a task force for HH-Arthopathy in the future.
Two new papers were adopted in November: Could it be the arthritis that occurs in Haemochromatosis? and Osteoporosis and Genetic Haemochromatosis.
- HEMONews Bulletin n°7.
HemoNews7 | English (download)
According to the EFAPH Secretary, Françoise Courtois “The coming AGM in May, 2019 in Heidelberg will see significant changes to the personnel of the EFAPH Board. In particular, our President of 10 years Barbara Butzeck will be stepping down and I would like to reduce my workload and to begin to train a new general secretary. We already have a new member society in Swedenthe 15th EFAPH-member and several new volunteers are helping the EFAPH community: Dag Erling Stakvik from the Norwegian Society is the new patient ePAG representative (EuroBloodNet) and Howard Don from the HUK is responsible for EFAPH’s dealings with EPF.”
Year 2018
- HEMONews Bulletin n°6.
HemoNews 6 | English (download)
According to the EFAPH President, Barbara Butzeck “EFAPH was delighted to include the Dutch association (HVN) as a new member association in 2017 and to welcome back the Swiss group in February 2018 with Dr. Sarah Ersozlu as their new representative.”
- Therapeutic recommendations in HFE haemochromatosis for p.Cys282Tyr (C282Y/C282Y) homozygous genotype
Although guidelines are available for hereditary haemochromatosis, a high percentage of the recommendations within them are not shared between the different guidelines. Our main aim is to provide an objective, simple, brief, and practical set of recommendations about therapeutic aspects of HFE hemochromatosis for p. Cys282Tyr (C282Y/C282Y) homozygous genotype, based on the published scientific studies and guidelines, in a form that is reasonably comprehensible to patients and people without medical training. This final version was approved at the Haemochromatosis International meeting on 12th May 2017 in Los Angeles.
English | Therapeutic recommendations in HFE hemochromatosis
French | Recommandations thérapeutiques dans l’hémochromatose HFE
German | Therapeutische Empfehlungen bei HFE Hämochromatose
Hungarian | Terápiás javaslat homozigóta genotípusú hemokromatózis kezelésére
Japanese | HFE ヘモクロマトーシスに対する治療推奨
Portuguese | Recomendações terapeuticas para a hemocromatose
Spanish | Recomendaciones terapéuticas en hemocromatosis
- HARI News: The HARI group published the document “Treatment of Haemochromatosis Arthopathy – Advice for patients about treatment of haemochromatosis arthropathy”, available in several languages: German, French, English and Portuguese.
German| Behandlung der Hämochromatose-Arthropathie
English| Treatment of Haemochromatosis Arthropathy
French | Traitement du rhumatisme hémochromatosique
Portuguese | Tratamento da Artropatia da Hemocromatose
- EFAPH prepared a Media Release during World Haemochromatosis Week which is aimed at raising awareness for HH
WHW Media Release | Full version (download)
- Swedish Haemochromatosis Association | First Meeting
On April 21st, 2018 Haemochromatosis patients, doctors and nurses were invited to meet at Huddinge Hospital, Southern Stockolm. This meeting was organized by Mr Ketil Toska, president of the Norwegian Haemochromatosis Association NHF and Vice-President of EFAPH. Besides Ketil Toska speakers will be Dr Per Staal from Huddinge Hospital and Dr Barbara Butzeck, EFAPH President and chair of HVD Germany. The meeting language will be Swedish. Some presentations are in English.
The aim of the meeting was to set up a Swedish Haemochromatosis Association.
Year 2017
- HARI News: a promising Research Initiative in Haemochromatosis Arthropathy
After three meetings in 2016/2017, the group is ready to publish treatment advice for HA patients. Future documents will highlight bone lesions and HA patterns to inform GPs and orthopaedic surgeons.
- HEMONews Bulletin n°5.
Hemo News 5 | English (download)
According to the EFAPH President, Barbara Butzeck “2016 saw progress in several EFAPH ongoing projects: the Rheumatology Initiative on HH Arthropathy HARI, launched in Cologne in 2015, had two face to face meetings. Prof Graça Porto did an amazing job implementing Haemochromatosis Reference Centres in EuroBloodNet. Unfortunately EFAPH lost JeanDaniel Kahn as senior advisor, and myself and the board are delighted that Betty Coueslant is now handling all financial aspects. The board attracted more collaborators: Annick Vancloster from HVV will represent EFAPH in EPF; Dr Patricia Evans, UK has become editorial associate of the HEMO NEWS.”
- EFAPH welcomes the Dutch association (HVN)
Year 2016
- HEMONews Bulletin n°4.
Hemo News 4 | English (download)
According to the EFAPH General Secretary, Dr. Françoise Courtois “2015 has been a very important year. The AGM in Cologne was wonderfully organized by the German HH-Association HVD. New and noteworthy: the active participation of Haemochromatosis International (worldwide HH federation). The scientific sessions have been very informative and generated several collaborative projects. The Lisbon October meeting has been a key date in closing a tight relationship with EHA (EU Hematology Association) to implement a ERN (EU Reference Network) for Rare Hematological Diseases: the beginning of an intense and complex “love story”!”
- HARI News: Treatment of Haemochromatosis Arthropathy
An international group of rheumatologists, composed of 7 rheumatologists from UK, France, Germany, Austria, Canada and Australia as well as Dr Barbara Butzeck from EFAPH as patient representative, founded HARI in June 2016, with the aim of continued research into Haemochromatosis Arthropathy. The group has published their first paper to help HH-Patients. The project was initiated at the EFAPH AGM in Cologne, October 2015.
Advice for patients from the Haemochromatosis Research Iniciative (HARI) download
Year 2015
- HEMONews Bulletin n°3.
Hemo News | English Version
Hemo News | French Version
In the third issue of EFAPH’s newsletter the emphasis has been put, as usual, on the highlights from EFAPH’s members Associations. The multinational (European) dimension is also stressed with EFAPH’s key projects: the Blood Donation Survey, the Arthropathy Taskforce and the internationalization of the HH GPs’awareness project. Last but not least, a formal Medical and Scientific Advances Section has been developed, borrowing from some National Members’s litterature and from outside sources.
- Haemochromatosis & Blood Donation
This project is aimed to: evaluate the current practices of blood donation from HH patients in different countries/regions from the perspective of patients or association members (as opposed to the published Blood Banks’ perspectives); and understand how strongly the different policies regarding the acceptance or not of HH subjects as volunteer blood donors may affect them or affect the effectiveness of their preventive treatment. For those purposes, an online survey was placed online in multiple languages.
Financial support is partially provided by EFS (French Blood Establishment)
- EFAPH becomes a member of Haemochromatosis International
- Haemochromatosis International (HI) is an alliance of haemochromatosis associations. They aim to advance the health of people with haemochromatosis in any part of the world.
They welcome membership from any Haemochromatosis Association, national or otherwise. For further information about Haemochromatosis International please visit the website haemochromatosis-international.org
- European Reference Networks Conference
From planning to implementation
EFAPH was represented by Françoise Courtois and Graça Porto. EFAPH presentation is available for download
DG Health and Food Safety organised the “2nd conference on European Reference Networks (ERN)” on 8-9 October 2015 in Lisbon, Portugal.
This 2nd conference, hosted by the Ministry of Health of Portugal, was included as an event of the Luxembourgish EU Presidency. The conference built on the success of the 1st conference on European Reference Networks, which took place in Brussels June 23rd 2014.
The conference focused on the implementation of ERN under the Directive 2011/24/EU with the goal to support interested highly specialised networks and centres of expertise across the EU already preparing for the call for ERN in early 2016. Further the draft of the assessment manual and toolbox to be used for the technical assessment of the Network proposals was presented.
- A Charity Concert
A charity concert was organised in Paris on 23rd November 2015 to raise funds for EFAPH, with the internationally renowed pianist Yves Henry and the young violinist virtuoso Hildegarde Fesneau. After a masterclass around a Mazurka of F. Chopin, the two concert performers interpreted a Sonata of W. A. Mozart followed by a “whim” of P. de Sarasate. The concert was splendidly ended by several romantic opuses of F. Chopin interpreted by Yves Henry whose talent, culture and kindness made a conquest of the public. An exceptional evening!
- Irish Haemochromatosis Association Silver Surfer Award and Charity Hero Award Nomination – Margaret Mullett
Margaret Mullett, president of the Irish Haemochromatosis Association, received the Silver Surfer Award in October 2015 in Dublin and was nominated for the Charity Hero Award.
Margaret Mullet had dedicated the last thirteen years of her life raising awareness about the blood disorder Iron overload (Haemochromatosis) which is prevalent in Ireland and is very treatable once diagnosed. The number of patients now diagnosed and treated with the disorder has increased vastly since she has become involved in leading awareness for the disorder. She has advocated tirelessly for patients with medical personnel to ensure early diagnosis and access to treatment; with health and life insurance providers against discrimination of iron overload patients and with various Ministers for Health to seek better resources in addressing this disorder.
Year 2014
- 10th EFAPH anniversary!
- The Belgian Flemish Association (HVV) and the Danish group for Haemochromatosis Association (Dansk Hæmokromatose Forening – DHA) joined EFAPH.
- EFAPH adopted a new logo to improve the visibility of HH.
- A pilot project was implemented in France (Yvelines district) to increase the GP’s awareness and to promote early diagnosis.
- First clinical thesis on “Early diagnosis and GPs” (Paris-Descartes VII University).
- Website and New webmaster transferred from Germany to Portugal.
- AGM in Verona (Italy): preliminary contact to found a second regional association in Italy (Pr Domenico Girelli).
- Haemochromatosis and Route du Rhum
A magical transatlantic crossover
Skipper Erwan Le Roux sailed off onboard his trimaran FenêtréA-Cardinal displaying the EFAPH logo on its main sail. This partnership was initiated when Françoise Courtois, EFAPH Secretary General, met Erwan Le Roux in October on occasion of the ProAm Sail and Golf taking place at Cissé-Blossac (French Brittany). Erwan had spontaneously volunteered to support EFAPH in the latter’s efforts to publicize haemochromatosis.
Erwan Le Roux was crowned winner of the Multi50 category onboard FenêtréA-Cardinal.
Bravo, Erwan!
We are proud to count Erwan as one of our embassaders. Thanks to him thousands of people have been made aware of haemochromatosis. The early diagnosis of the disease is necessary in order to avoid severe complcations (joint pain, heart problems, diabetes, cirrhosis…)
Source: Joël Demares, Chair Association Hémochromatose Ouest (France)
- The Swiss Haemochromatosis Association “Hämochromatose Schweiz” was founded in February (since dissolved, refer to the German Haemochromatosis Association Hämochromatose-Vereinigung Deutschland e.V. HVD.)
Year 2013
- On the 21st of February an extraordinary piano concert, with the international artist Anne Queffelec, was held in Paris for the benefit of EFAPH.
- The Icelandic Group joins the Norwegian Association, the Danish Association is officially established.
- In occasion of the Biolron Society (IBIS) Congress in London, EFAPH played a major role in activating International Alliance of Haemochromatosis Associations IAHA (now Haemochromatosis International) with representatives of the 5 major continents (Canada, Australia, South Africa, Brazil and Europe).
- A partnership with the French Blood Centre (EFS) was signed to promote blood donation from HH patients in Europe.
- EFAPH officially applied to the European Commission for its RAGIODEN Project (HH ERN).
- More countries joined the HH Week (June): Spain, Portugal, Ireland, France, Germany…
- On Saturday, November 23, Dr Françoise Courtois, Secretary General of EFAPH, was honoured with the insignia of Knight in the National Order of the Legion of Honor at the Château du Val. Congratulations are in order for this distinguished recognition.
- HEMONews Bulletin n°2 is published.
Year 2012
- Further to the 2011 Lunch-Debate at the European Parliament, the European Commission replies to the Written Question from the ENVI Committee (February): official recognition of HH specifics.
- EFAPH became a full member of EURORDIS.
- During the Annual General Meeting (AGM) in Rennes, France, held in September, a brainstorming session regarding the HH European Reference Network (ERN) took place.
- The first EFAPH Newsletter, HEMONews Bulletin n°1, was published.
Year 2011
- Lunch-Debate at the European Parliament (September 20) in cooperation with the ENVI Committee and the Permanent Committee of European Medical Practitioner (CPME). Link to agenda
- Foundation of the International Alliance of Haemochromatosis Associations (IAHA) (now Haemochromatosis International) in Vancouver (Canada) on EFAPH’s initiative (Pr Pierre Brissot).
- Scientific Committee estabilished, decided during the AGM in Brussels.
- EFAPH has joined Health First Europe (HFE) as an active member.
Year 2010
- EFAPH began lobbying for national screening programs in EU countries.
Year 2009
- Facilitated the first pan-European survey on haemochromatosis awareness.
2007–2009
- Advocated for the inclusion of iron overload disorders in EU healthcare agendas.
Year 2008
- Strengthened alliances with major stakeholders in iron-related health issues.
- EFAPH initiated research collaborations with European scientists in September.
- EFAPH expanded its advocacy initiatives targeting public health policies in the European Union in December.
Year 2007
- EFAPH made its first contacts with major European patients’ organisations (e.g., the European Cancer Patient Coalition, Rare Diseases Europe – EURORDIS, European Patients’ Forum – EPF, the International Diabetes Federation – IDF).
- Established first partnerships with the Pharmaceutical Group.
- The national HH-association of Norway joined EFAPH (General Meeting in London).
Year 2006
- EFAPH opened an office in Brussels, housed by “Délégation de Bretagne — Europe.”
Year 2005
- The Federation was founded by Jean Rialland and Professor Pierre Brissot (MD, PhD) in Rennes, France, in August 2005.
The French, Belgian and Spanish Haemochromatosis Associations were the founding members.
- First grant from the Novartis Foundation.
- The national HH-associations of Germany, Ireland, Italy, Portugal, the Netherlands, and UK joined EFAPH (General Meeting in Rennes). EFAPH started building up close relations with the European Iron Club (EIC).